Возможности современной медицины

7 сентября 2011 г., среда

Медицина в г. Набережные Челны развивается, появляются новые методы диагностики и лечения, становится возможным лечение пациентов с тяжелыми формами сердечно-сосудистых и онкологических заболеваний.

Приводим вам яркий клинический случай.

Пациент М. 1944 года рождения 01.09.11.г поступил в отделение сосудистой хирургии ГАУЗ РТ БСМП с клиникой критической ишемии нижних конечностей, хронической ишемии головного мозга (стеноз устья правой позвоночной артерии  по данным ЭКДС 70%), артериальной гипертензии (по данным УЗДС почечных артерий - стеноз почечной артерии слева 70%).

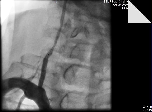
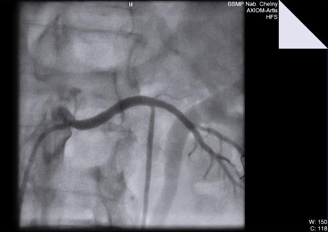
06.09.11. г. Выполнена ангиография ветвей дуги аорты, почечных артерий.

Диагноз: Генерализованный атеросклероз. Атеросклероз брахиоцефальных артерий. Стенозы внутренних сонных артерий слева 60%, справа - 50%, устья позвоночной артерии справа 70%. Сосудистая мозговая недостаточность II ст. Атеросклероз висцеральных ветвей аорты. Стеноз почечной артерии слева 70%. Синдром вазоренальной гипертензии. Синдром Лериша. Стенозы ОПА 85%, НПА 75% справа. Окклюзия НПА слева. Облитерирующий атеросклероз артерий нижних конечностей. Бедренноподколенное шунтирование справа в 1997 г.(шунт окклюзирован). Стеноз ОБА 60%, окклюзия ПБА, ПКА, берцовых артерий правой нижней конечности. Стенозы ОБА – 65%, ГБА 50%, ПКА 60%, окклюзия ПБА, берцовых артерий левой нижней конечности. ХАН нижних конечностей III степени.

Сопутствующий: ИБС Стенокардия напряжения. ФК 3 ПИКС (2010 г.). Апикальная аневризма, пристеночный тромб левого желудочка. Атеросклероз коронарных артерий: окклюзия ПМЖА, стеноз АИ 70%, ВТК 2 40%, окклюзия ПКА, стеноз ЗБВ 70% (КАГ 18.01.11.г.) Состояние после коронарного шунтирования, пластики трикуспидального клапана (03.05.11.г.) Нарушение ритма: желудочковая экстрасистолия. ХСН 2А. ФК 3.

Са подсвязочного отдела гортани с переходом на в/3 трахеи. Т4N0M0 Компенсированный стеноз подсвязочного отдела гортани и в/3 трахеи IV ст II Кл.гр.

ХОБЛ Пневмосклероз ДН 1

Нарушение толерантности к глюкозе.

03.05.11.г. – перенес коронарное шунтирование в условиях отделения кардиохирургии МКДЦ

В мае 2011 года в послеоперационном периоде выявлен Са гортани, переведен в РКОД г. Казань, в условиях РКОД перенес лучевую терапию.

06.09.11. БСМП г. Набережные Челны выполнено одномоментное стентирование устья правой позвоночной артерии, левой почечной артерии

07.09.11.г. пациент выписан в удовлетворительном состоянии. Через неделю планируется

2й этап лечения –проведение операции  бифуркационного аортобедренного шунтирования для разрешения клиники критической ишемии нижних  конечностей.

В настоящее время медицина благодаря развивающимся технологиям позволяет продлить жизнь пациентам и улучшить качество их жизни.

 

ПОДПИСАТЬСЯ НА НОВОСТИ
Все материалы сайта доступны по лицензии:
Creative Commons Attribution 4.0 International