Методика селективной эмболизации сосудов при онкологической патологии

9 сентября 2011 г., пятница

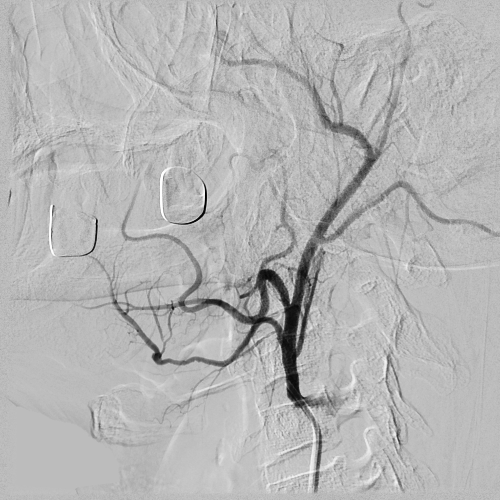
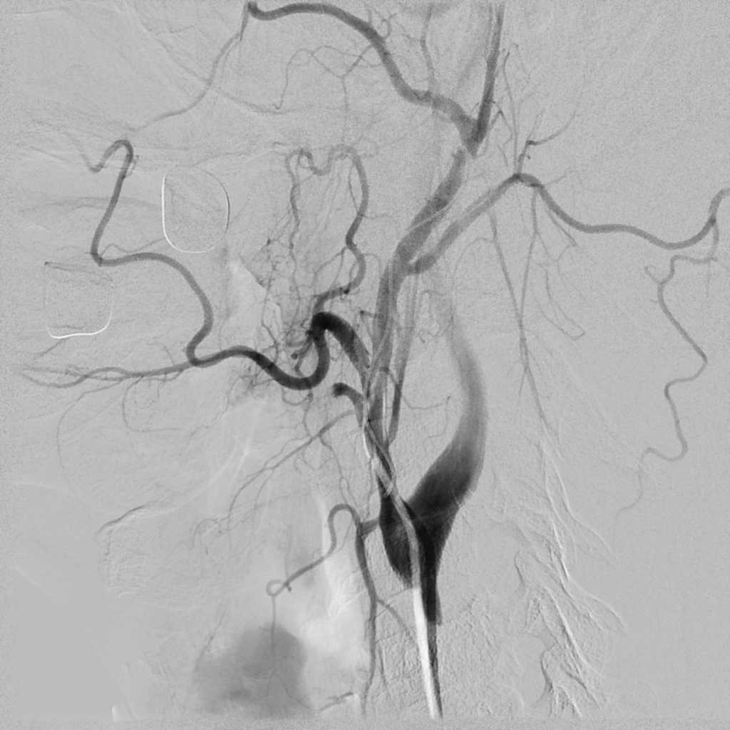
В БСМП внедрена методика селективной эмболизации сосудов при онкологической патологии.

06.09.2011 был прооперирован пациент с опухолью языка с распадом, осложнившимся кровотечением. Внутрисосудисто, под местной анестезией пациенту была произведена селективная эмболизация язычной артерии и наружной сонной артерии. В послеоперационном периоде повторных эпизодов кровотечений не отмечено.

Селективная эмболизация артерий при опухолевых процессах позволяет предотвратить эпизоды кровотечений и уменьшить кровопотерю во время операций.

ПОДПИСАТЬСЯ НА НОВОСТИ
Все материалы сайта доступны по лицензии:
Creative Commons Attribution 4.0 International