Данный метод является дополнением стандартной МРТ и позволяет оценить метаболический состав патологического очага головного мозга (неинвазивная биопсия). Это позволяет на предоперационном этапе спланировать адекватный доступ и объем операции, а также максимально достоверно высказаться о природе очага.
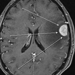
Пациентка М. поступила в нейрохирургическое отделение с жалобами на сильную головную боль и слабость в правых конечностях. Была произведена РКТ головного мозга, где была выявлена опухоль левой лобной доли. Для уточнения диагноза в ГАУЗ РТ БСМП была произведена МР-томография с МР-спектроскопией. Были получены данные о метаболическом составе очага, что точно соответствовало метастатическому поражению. При последующем онкопоиске первичного очага был выявлен Са правой молочной железы и метастазы в позвонке.
.jpg)
.png)