Впервые в Татарстане: в Региональном центре скорой медицинской помощи была выполнена уникальная операция - баллонная ангиопластика верхней брыжеечной артерии при мезонтериальном тромбозе, с хорошим клиническим результатом.
19.01.2011 в приемно-диагностическое отделение ГАУЗ РТ БСМП г. Набережные Челны поступила пациентка В., 89 лет с жалобами на резкую слабость, боль в области пупка. Уже при поступлении специалисты заподозрили острое состояние, которое при отсутствии должного лечения грозило обернуться катастрофой органов брюшной полости, и в конечном итоге, могло привести к гибели больной.
После срочно выполненного исследования на современном оборудовании (компьютерная томография органов брюшной полости с контрастированием в ангио-режиме), диагноз подтвердился. Обычно в таких случаях пациенту выполняют "открытую" операцию (через разрез на животе), когда из "забившейся" артерий специальным инструментом извлекают тромбы, препятствующие току крови, восстанавливая, таким образом, кровоток в артерии, либо удаляют часть кишечника, что чаще случается в обычных хирургических клиниках. Больная была обсуждена коллегиально - сосудистые хирурги с общими хирургами , с целью определения дальнейшей тактики ведения пациентки. Учитывая тяжелое состояние, возраст (89 лет), травматичность открытой операции, наличие современного оборудования и квалифицированного медицинского персонала, было принято решение выполнить рентгенэндоваскулярное лечение через прокол на бедре.
Пациентке 19.01.2011 выполнена ангиография чревного ствола, верхней брыжеечной артерии, почечных артерий. Баллонная ангиопластика верхней брыжеечной артерии (оперировал врач рентген-хирург к.м.н. Загидуллин Б.И.) по поводу острого тромбоза верхней брызжеечной артерии.
Данный вид лечения выполняется на специальном рентгеновском оборудовании (ангиограф) с использованием рентгенконтрастных веществ, которые позволяют проконтролировать ход всей процедуры в режиме реального времени на мониторе. Смысл процедуры сводится к следующему: через один маленький прокол на бедре внутрь просвета сосуда вводят специальный проводник двигаясь непосредственно к тому месту, где артерия сужена и имеется ее "закупорка". Изнутри сосуда место сужения под давлением расширяется, таким образом, восстанавливая кровоток. Иногда для закрепления результата, с целью предотвращения повторного сужения, внутрь просвета артерии вводят стент - специальную конструкцию, напоминающую каркас.
После проведенной операции состояние пациентки стабилизировалось, боли в животе прекратились. В данный момент пациентка идет на поправку.

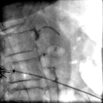
Ангиография. Показано место сужения верхней брызжеечной артерии.

Компьютерная томография. 3D реконструкция. Показано место сужения верхней брызжеечной артерии.
Ангиография. Этап баллонной дилатации верхней брызжеечной артерии.
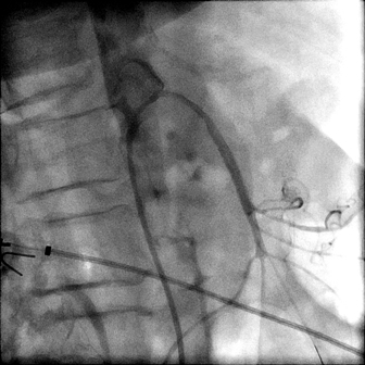
Ангиография. Результат лечения. Верхняя брызжеечная артерия проходима.
справка:
В настоящее время в странах Западной Европы, в США выбранная тактика лечения у больных с таким заболеванием считается общепринятой. В России до недавнего времени выполняли исключительно открытые операции. В прошлом году в отечественной специализированной медицинской литературе появилось первое сообщение об успешном выполнении подобной операции.