Государственное автономное учреждение здравоохранения Республики Татарстан «Больница скорой медицинской помощи имени Р.С. Акчурина»
В нейрохирургическом отделении проведен мастер класс с участием представителя компании медицинской техники BrainLab
16 марта 2011 г., среда
В нейрохирургическом отделении ГАУЗ РТ БСМП проведен мастер класс с участием представителя компании медицинской техники «BrainLab» Дмитрием Казаковым.
Цель данного обучающего курса: помощь нейрохирургам БСМП в освоении навигационной системы.
Навигация – выбор оптимального пути следования объекта в пространстве. Навигационная хирургическая станция работает по схожему принципу со спутниковой навигацией.
Хирург до операции создаёт, планирует и моделирует оптимальную траекторию продвижения к патологическому очагу головного мозга. Во время операции система отслеживает положение инструментов по отношению к анатомическим структурам и при отклонении от запланированного подаёт сигнал тревоги нейрохирургу. Процесс навигации происходит в реальном времени и отображается на мониторе.
Проведение оперативных вмешательств с использованием системы позволяет значительно уменьшить зону повреждение, а особенно это важно при операциях на головном и спинном мозге. С помощью данной технологии зона повреждения составляет 1,5- 2 сантиметра, по сравнению с открытыми методами оперативных вмешательств 15-20 см.
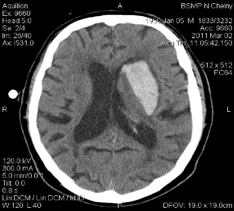
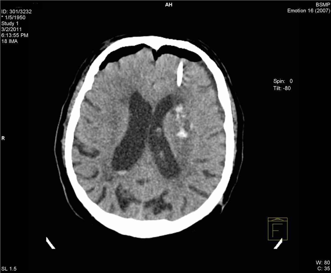
Нейрохирургами проведены две операции по удаление опухолей головного мозга. Навигационная система определила точное месторасположение опухоли и нейрохирург оптимизировал подход к патологическому очагу с минимальными повреждениями. Также проведена одна операция по удалению внутримозговой гематомы с помощью эндоскопического тубуса. При таком кровоизлиянии операционный подход сопровождается разрушением большой зоны мозговой ткани. При использовании навигации операция проводится через 1,5 сантиметровой туннель.